- 開頭手術後放射線治療期間中
→ 75㎎/㎡を42日間連日服用。 - 放射線治療終了後の維持療法
→ 150㎎/㎡を5日間。28日サイクル。維持療法は投与量の増減可(100㎎/㎡ 200㎎/㎡)
悪性脳腫瘍
悪性脳腫瘍 どんな病気?
脳以外の臓器では悪性腫瘍を「がん」と表現することが多いですが、脳腫瘍ではGrade(グレード)という言葉を使います。ほとんどの脳腫瘍にGrade1・2・3・4のグループ分けがあります。Grade3とGrade4が悪性脳腫瘍と表現され、他の臓器でいうところの「がん」に相当します。
一部の例外を除けば、悪性に限らずすべての脳腫瘍で、このGradeを含めた確定診断のために病理組織診断が必要になります。病理組織診断とは、手術で採取した腫瘍組織を顕微鏡で観察するものです。
代表的な悪性脳腫瘍には以下のようなものがあります。
- 膠芽腫(Glioblastoma:グリオブラストーマと読みます)
- 中枢神経原発悪性リンパ腫
- 転移性脳腫瘍
膠芽腫や中枢神経原発悪性リンパ腫は原発性脳腫瘍です。Grade4です。これらは手術による組織診断の後、放射線治療や抗がん剤治療を併用します。
転移性脳腫瘍は他の臓器にできた「がん」が脳に転移したものです。転移の大きさや数、転移の場所などにより手術または放射線治療を行います。
悪性脳腫瘍の治療(概要)
- 手術
- 放射線治療
- 抗がん剤治療
膠芽腫や悪性リンパ腫などの原発性脳腫瘍では、手術を行って病理組織診断が確定した後で、診断に合わせて放射線治療や抗がん剤治療を行っていくことになります。
転移性脳腫瘍では、病歴や画像診断により手術を割愛して放射線治療や抗がん剤治療を行うことが多いです。
悪性脳腫瘍の治療 膠芽腫
膠芽腫は最も悪性度の高い脳腫瘍です。いろいろな治療を組み合わせても根治が難しいため、長期間継続した治療が必要です。診断から治療までの大きな流れは以下の通りです。
| 診断から治療までの大きな流れ | |
|---|---|
| ① | MRI検査で膠芽腫の疑いとなる。 |
| ② |
手術で可能な限り病変を切除して、病理組織診断を行う(最終的な診断までに1週間程要します)。 術中迅速病理診断(手術中に行われる暫定的病理診断)で膠芽腫の診断となった場合、ギリアデルという脳内に留置する抗腫瘍薬を使用することができます。 |
| ③ |
病理組織診断が確定して手術後の全身状態が安定したら、6週間継続してテモゾロミドという抗腫瘍薬を内服しながら+並行して総線量60Gyの放射線治療。 ベバシズマブという抗腫瘍薬を併用することもあります。 |
| ④ | その後は4週毎に5日間のテモゾロミド内服を継続します。その他に、2週間〜3週間毎のベバシズマブの点滴治療を併用することもあります。Optuneという電場治療装置を併用することもあります。 |
【 参考情報(外部サイトに移動します)】
- OPTUNE 脳腫瘍の電場療法(患者様用資料)
https://www.optune.jp/for_patients/library/
膠芽腫 治療経過の一例
①初診時
②手術後
③放射線治療後
④半年後
手術では取り切れない大きな腫瘍です。放射線治療後には腫瘍が著名に縮小しています。テモダールの内服を継続し、半年後も腫瘍の拡大なく経過しています。
悪性脳腫瘍の治療 中枢神経原発悪性リンパ腫
中枢神経原発悪性リンパ腫は急速に増大する傾向があります。この病気が疑われた場合、診断と治療を急いで行わなければなりません。1週間以内に手術を行う必要があります。治療の流れは以下の通りです。
| 診断から治療までの大きな流れ | |
|---|---|
| ① | 画像診断で中枢神経原発悪性リンパ腫の疑いとなる。 |
| ② |
なるべく早期の手術を行い、病理組織診断を行います(診断には1週間程要します)。 |
| ③ |
診断が確定したら、直ちに抗がん剤治療。続いて放射線治療も検討。 メトトレキサート大量療法 2週間毎 3コース メトトレキサート大量療法が3コース終了した時点で腫瘍の縮小が不十分な場合、全脳放射線治療を追加で行います。 メトトレキサートが十分効果ありと判断された場合はそのまま6コース継続し、最後に全脳放射線治療を行います。 |
これらの治療を行っても、数年以内に高率に再発します。再発時にはメトトレキサート大量療法を再度行うことを検討します。その他にベレキシブルという薬が再発悪性リンパ腫に有効な抗腫瘍薬として2020年に承認されました。
中枢神経原発悪性リンパ腫 治療経過の一例
①初診時
②手術後
③MTX3コース
+
放射線治療後
④1年後
- 小脳の悪性リンパ腫
- 手術+大量メトトレキサート療法3コース+全脳放射線治療を行いました(全ての治療が完了するまでに3ヶ月を要しました)
- 1年以上、腫瘍の再発なく経過しています
悪性脳腫瘍の治療 転移性脳腫瘍
転移性脳腫瘍は、他臓器の癌が脳に転移したものです。転移の個数と大きさによって大まかに治療方針が決まってきます。ガイドラインに示されている標準的な治療方針は概ね以下の通りです。
| ガイドラインに示されている標準的な治療方針 | |
|---|---|
| ① | 病変数が1個で、大きさが3㎝以下であれば定位放射線治療。 |
| ② |
病変数が1個で、大きさが3㎝以上のものは手術(手術可能部位に限る)。 |
| ③ |
病変数が4個までであれば、定位放射線治療(当院ではガンマナイフ)や全脳放射線治療。 |
| ④ | 病変数が5個以上のものは全脳放射線治療。 |
全脳放射線治療では、治療後半年前後に高次脳機能障害という認知機能障害を生じる可能性が高いため、当院では、病変数が5個以上でも積極的にガンマナイフ治療を行う方針としています。
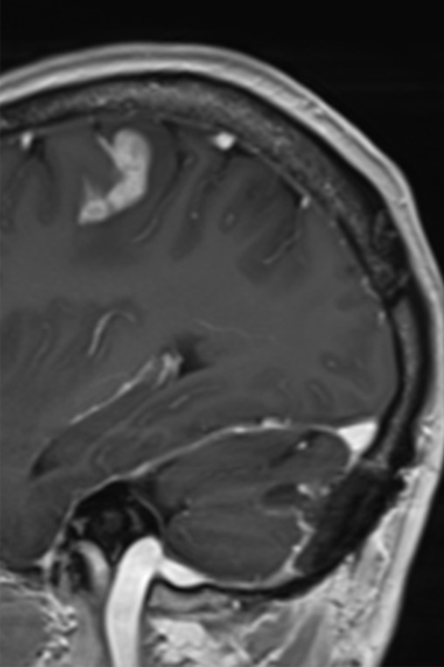
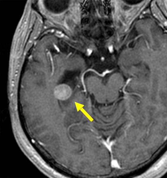
転移性脳腫瘍 治療経過の一例(ガンマナイフ)
ガンマナイフプランニング画像
1年後
転移性脳腫瘍 治療経過の一例(手術+全脳放射線治療)
初診時
手術後
放射線治療後3ヶ月
○手術ができない大脳の病変
○手術が必要な小脳の病変
治療方法について
手術
脳腫瘍の手術方法には以下の方法があります。
- 比較的大きく皮膚を切開して頭蓋骨を切り取る開頭手術
- 小さな傷で、脳損傷を最小限にする穿頭手術
開頭手術はなるべく多くの腫瘍を切除したいときに選択します。
穿頭手術は小さな腫瘍で組織診断が必要で、安全に組織を採取することが可能な場合に選択します。


脳腫瘍摘出の開頭手術(前頭開頭)
皮膚切開線は顔にはかからず毛髪に隠れるよう設定しています。


腫瘍生検術の穿頭手術
手術支援機器の紹介(ナビゲーションシステム)
安全、確実な手術を行うために様々な手術支援機器を活用しています。
ナビゲーションシステム手術操作が画像上のどの部分で行われているか、リアルタイムで確認することができます。脳に隠れた深部の腫瘍の切除や、複雑な構造の病変の手術で不要な脳損傷を回避することができます。
手術支援機器の紹介(電気生理学的モニタリング)
- 聴覚刺激と脳波の測定による聴神経機能のモニタリング
ABR - 脳表での電位測定や電気刺激による運動・感覚神経機能のモニタリング
SEP・MEP
手術支援機器の紹介(5ALA(デルタアミノレブリン酸)による腫瘍蛍光診断)
顕微鏡所見
どこに病変があるかわかりにくい
蛍光所見
桃色に発色した腫瘍
悪性脳腫瘍の治療薬
膠芽腫
テモダール(テモゾロミド)

アバスチン
- 10㎎/㎏を2週間毎に投与。
- または15㎎/㎏を3週間毎に投与。
生存期間延長効果はありませんが、症状の悪化を遅らせる効果がある薬です。脳出血、高血圧、タンパク尿(ネフローゼ症候群)などの副作用に注意が必要です。
以下のような注意を要する副作用が報告されています。
- 腫瘍(がん)などからの出血(脳出血)
- 動脈や静脈の中に血液のかたまりができる(血栓塞栓症)
- 傷口が治りにくくなる(創傷治癒遅延)
- 胃や腸に穴があく(消化管穿孔)
- 感染症
- 毛細血管に血のかたまりができる(血栓性微小血管症)
- ニューモシスチス肺炎(咳や息切れ、発熱など)
主な副作用には以下のものがあります。
- 高血圧
- 尿にたん白が出る(たん白尿)
- 吐き気・嘔吐
- 食欲の低下
- 便秘または下痢
- 粘膜からの出血(鼻血、歯ぐきなどからの出血)
- 赤血球数の減少(貧血)
- 白血球数・好中球数の減少(菌やウイルスなどに対する抵抗力の低下)
- リンパ球数・白血球数・好中球数の減少(菌やウイルスなどに対する抵抗力の低下)
- 血小板減少(血が止まりにくくなる)
- からだがだるい
ギリアデル(BCNU wafer)
1㎝程の大きさの円形のタブレットに薬が含まれている。- 手術摘出後の摘出腔に留置する薬。
- 迅速病理診断で膠芽腫の診断が確認できた時に使えます。
- 生存期間の延長効果は3〜4ヶ月とされています。
- ギリアデル留置後は脳浮腫が生じることが多いことに注意が必要です。
中枢神経原発悪性リンパ腫:PCNSL
メトトレキサート(MTX)
- 白血病などで使用される葉酸代謝拮抗薬です。
- PCNSLでは大量投与を行います。
- 薬剤を体内から排泄するために、大量の点滴や葉酸の補充、薬物血中濃度の測定などが必要です。
- 5日間程の入院期間が必要になります。
リツキシマブ
- CD20モノクローナル抗体。B細胞性リンパ腫に有効です。
- メトトレキサートに次いで推奨されている治療薬です。
ベレキシブル®(チラブルチニブ)

- 再発または難治性のPCNSLで使用します。
- 1日1回480㎎、空腹時に内服する薬です。
- 半量・1/4量まで減量可能です。
- 嘔気、皮膚粘膜障害、骨髄抑制などの副作用があります。
