診療について
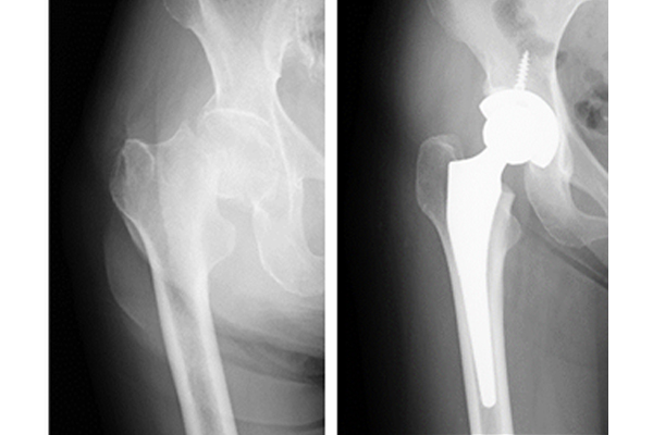
大腿骨頚部骨折、大腿骨転子部骨折
骨密度の低下した高齢者に多い股関節周辺の骨折です。この骨折では、立つことや歩くことができず寝たきりとなってしまう可能性もあるため、手術による治療が必要となります。
大腿骨頚部骨折は、血流が悪く骨癒合が得られにくい部位の骨折です。骨折部分の転位がある(ずれている)場合は、骨癒合が期待できないため、大腿骨頭を抜去し人工骨頭を挿入する手術を行います。患者さんの年齢や股関節の状況によっては人工関節置換術を行うこともあります。転位がない場合は、スクリューで固定する骨接合術を行います。
人工骨頭挿入術
人工関節置換術
骨接合術
大腿骨転子部骨折
橈骨遠位端骨折
転倒して手をついた際によく起こる手首周囲の骨折です。橈骨、尺骨と2本の骨があり母指側の橈骨の骨折となります。小指側の尺骨が骨折していることもあります。
骨折部分の転位がある(ずれている)場合や、関節に面する骨折がある場合は手術が必要となります。また早期のリハビリテーションや社会復帰を希望される際も手術を行うことがあります。転位がなければ、ギプスやシーネなどの固定で治療することも可能です。
当院では、ロッキングプレート(スクリューとプレート)を使用した手術を行います。
入院期間は数日程度です。基本的には、手術後にギプスやシーネなどの固定は必要ありません。
上腕骨近位端骨折
上腕骨の肩関節周囲での骨折です。骨密度の低下した中高年に多いと言われています。骨折部をスクリューなどの金属で固定する手術を行うことで、早期に痛みを軽減させ、早期からのリハビリテーションを行い肩関節の機能を回復することが可能となります。
骨折部を固定する方法としては、主に髄内釘とプレートの2種類の固定方法がありますが骨折のタイプによって手術方法は決定します。骨折部の粉砕が強い場合は人工関節に入れ替える手術を行うこともあります。
髄内釘
プレート
人工骨頭
膝関節周囲の骨折
膝関節は、大腿骨と脛骨と膝蓋骨の3つの骨から構成されております。どの部位も歩行や曲げ伸ばしに重要な役割を担っているため手術が必要になることが多い骨折です。
単純な骨折から骨折部分が粉砕している粉砕骨折、骨折部の皮膚にも損傷を伴う開放骨折(複雑骨折)まで様々なタイプの骨折があり、病状に応じて治療を選択していきます。
大腿骨顆上骨折
膝蓋骨骨折
脛骨近位部粉砕骨折
足関節周囲の骨折
足関節のくるぶしの骨折を足関節果部骨折といいます。足首を強く捻ったときに発生することが多いです。この骨折により足関節が不安定な状態となるため手術が必要となります。
また足関節の上面が粉砕する足関節天蓋部骨折や、かかとの骨である踵骨骨折など様々なタイプの骨折があるため、病状に応じて治療を選択していきます。
足関節果部骨折
足関節天蓋部骨折
踵骨骨折
アキレス腱断裂
アキレス腱断裂は、ふくらはぎの筋肉(下腿三頭筋)がダッシュ・ジャンプなどの動作で急に収縮した時や、着地などで急に伸ばされた時に発生します。腱の変性が基盤にあると考えられております。
治療方法としては、保存治療では再断裂も多く活動性の高い患者さんには手術治療が勧められます。手術を行うことで早期のリハビリテーションも可能となり、手術治療を行います。手術の方法は断裂したアキレス腱同士を縫合します。
術後は1~2ヵ月程度はアキレス腱装具を装着していただきます。3~4ヵ月から徐々にスポーツ活動を開始でき、競技への復帰は4~6ヵ月程度かかります。
肩腱板断裂
肩腱板とは肩甲骨と上腕骨をつなぐ板状の腱で肩関節の可動の際に上腕骨頭が肩甲骨の関節窩からずれないように保つ、いわば支点となる役割を担っています。この腱板は、肩峰と上腕骨頭の間に挟まれているため、腱板の老化が進むと断裂をすることがあります。明らかな怪我がなくても断裂することがあり、腱板の老化も原因と考えられています。
腱板が断裂することにより肩の痛みの原因となります。特に夜間の痛みが強い傾向にあります。また、腕が上げられなくなったり、肩の引っかかり感を自覚することもあります。X線やMRIで診断することができます。
治療法としては断裂した部位が自然治癒することはありませんが、内服や注射、リハビリテーションなどの保存療法で多くの方の症状は改善します。改善が乏しい場合や、再発を繰り返す場合などは手術での治療を行います。手術は断裂した腱板を修復します。当院では関節鏡という内視鏡での手術を行っております。従来の直接切開する方法と比較し、手術後の痛みも少なく、肩関節機能も早く回復します。
腱板断裂
腱板断裂修復後
腱板断裂/骨棘の切除後
腱鞘炎/ばね指
屈筋腱という指を曲げる腱が、腱鞘という腱を安定させる組織の下を通過しています。この腱と腱鞘に炎症を起こした状態を腱鞘炎と言います。腱鞘炎を生じると腱鞘の下で屈筋腱がスムーズに動かなくなり、指の付け根に痛みや腫れを生じます。さらに進行すると、屈筋腱の引っかかりが生じ、バネ現象が認められ、ばね指と呼ばれます。
手の使い過ぎている方に多いとされています。糖尿病や関節リウマチなどの患者さんにも発生します。
内服や安静、ステロイドの注射など保存的治療を行いますが、改善の乏しい場合や再発を繰り返す場合は手術での治療を行います。引っかかりの強い腱鞘の一部分を切開します。日帰り手術で15~30分程度で終了します。
手根管症候群
正中神経という神経が手首の部分にある手根管というトンネル内で圧迫された状態です。正中神経が圧迫されることで、指(母指~環指の半分)のしびれや痛み、握力の低下、細かいものがつまめないなどの症状が発生します。妊娠・出産や更年期、手の使いすぎ、骨折、透析などが原因と考えられています。
症状が軽い場合は、消炎鎮痛薬、ビタミンB12製剤、局所の安静や注射などで経過をみます。難治性の患者さん、母指球(親指の付け根)の痩せた患者さんには手術治療を行います。手術は、手のひらに小切開を加え、手根管というトンネルを開放する手術を行います。日帰り手術で15~30分程度で終了します。
変形性膝関節症
中高年の膝の痛みの原因の多くは、変形性膝関節症です。加齢により関節軟骨がすり減り、進行すると関節が変形してきます。初期の症状としては立ち上がりや歩きはじめの膝の痛みです。進行してくると正座や階段が困難となってきます。末期になると水がたまることも多く、膝が真っ直ぐ伸びなくなることもあります。
原因としては加齢だけではなく、肥満なども関与しています。また膝関節の骨折や靱帯損傷、半月板損傷などの後遺症として発生することもあります。レントゲンで診断することが可能です。場合によってはMRI検査を行うこともあります。
初期の場合の治療は、リハビリテーション、ヒアルロン酸の関節注射、足底板などの装具療法などを行います。病状が進行し日常生活での支障が出ている場合や関節の変形が高度な場合には手術での治療を行います。手術方法としては人工関節手術や骨切り手術があります。
当院では人工関節手術にナビゲーションシステムを導入しております。ナビゲーションシステムとは、人工関節を設置する際に骨を削る角度や量を赤外線とコンピューターで計測し、精度の高い手術を行うシステムです。従来よりも正確性が高くなり人工関節が長持ちすると考えられております。
手術翌日からリハビリテーションを開始し、2~4週程度で歩行可能となります。
人工関節置換術
骨切り術
変形性股関節症
中高年の股関節の痛みの原因として変形性股関節症があります。多くは女性で、幼少期の発育性股関節形成不全が原因となっていることあります。初期の症状は立ち上がりや歩き初めに股関節に痛みが出現します。進行すると、股関節痛のため立ち仕事が困難となり日常生活にも支障をきたすことが多くなってきます。股関節部での変形が強い場合は、左右の足の長さの差が生じることもあります。レントゲンで診断することが可能です。場合によってはMRI検査を行うこともあります。
初期の場合は、リハビリテーションや鎮痛薬などの保存療法を行っていきます。症状も強く関節の変形がすすんでいる場合には、手術を行うことがあります。手術は主に人工関節手術を行います。
当院では人工関節手術にナビゲーションシステムを導入しております。ナビゲーションシステムとは、人工関節を設置する際に骨を削る角度や量を、赤外線とコンピューターで計測し、より精度の高い手術を行うシステムです。従来よりも正確性が高くなり人工関節が長持ちし、脱臼しにくいと考えられております。
手術翌日からリハビリテーションを開始し、2~4週程度で歩行可能となります。
